Filtro de veia cava simples dispositivo que pode salvar muitas vidas Cirurgião Vascular

Como afirmado, a Síndrome da Veia Cava Inferior é basicamente causada por obstrução ou bloqueio da veia cava inferior, que transporta sangue das extremidades inferiores para o coração. A principal causa desta condição é a gravidez e, portanto, é encontrada normalmente em mulheres. Durante a gravidez há um aumento do útero devido ao.
Para que Serve o Filtro de Veia Cava? Folino & Gama

A Síndrome da Veia Cava Superior (VCS) é um conjunto de sinais e sintomas que resultam de qualquer condição que leve a estase do fluxo sanguíneo através da VCS, seja por trombose, compressão extrínseca, invasão direta da veia por processos patológicos adjacentes, ou combinação destes fatores. A obstrução pode ter uma evolução.
Como diferenciar angioedema da síndrome da veia cava superior? YouTube

Superior vena cava (SVC) syndrome is a collection of clinical signs and symptoms resulting from either partial or complete obstruction of blood flow through the SVC. This obstruction is most commonly a result of thrombus formation or tumor infiltration of the vessel wall. The superior vena cava is formed by the junction of the left and right innominate (brachiocephalic) veins and is tasked.
Image Filtro de veia cava inferior Manual MSD Versão Saúde para a Família

Inferior vena cava syndrome (IVCS) is rare and often difficult to diagnose because of its rarity and consequent low suspicion. It is usually suggested by the presence of bilateral oedema and more rarely by low back pain; it may mimic a lumbar hernia and even cauda equina syndrome [ 1]. Nephroblastoma is the most common childhood abdominal.
Veia cava marsupial simulando linfonodomegalia na tomografia Sanar Medicina

The inferior vena cava is formed by the confluence of the two common iliac veins at the L5 vertebral level. The IVC has a retroperitoneal course within the abdominal cavity. It runs along the right side of the vertebral column with the aorta lying laterally on the left. Various other veins drain into the IVC along its course before it passes.
Inferior vena cava anatomy, function, filter & inferior vena cava syndrome

A síndrome da veia cava inferior em mulheres grávidas nem sempre leva a quaisquer consequências negativas. O fato é que, em um número maior de pacientes, a saída de sangue venoso da parte inferior do corpo ocorre através das veias não pareadas e vertebrais, de modo que a síndrome da veia cava inferior não pode ser acompanhada por uma.
Saiba mais sobre procedimento de retirada de filtro de veia cava guiado por laser HOSPITAIS BRASIL

J Vasc Bras, vol.18, e20180062, 2019. Resumo: Contexto: O tratamento da síndrome da veia cava superior (SVCS) visa aliviar, rapidamente, os sintomas desconfortáveis. Os resultados das abordagens convencionais nem sempre são tão rápidos quanto os do tratamento endovascular com colocação de stent.
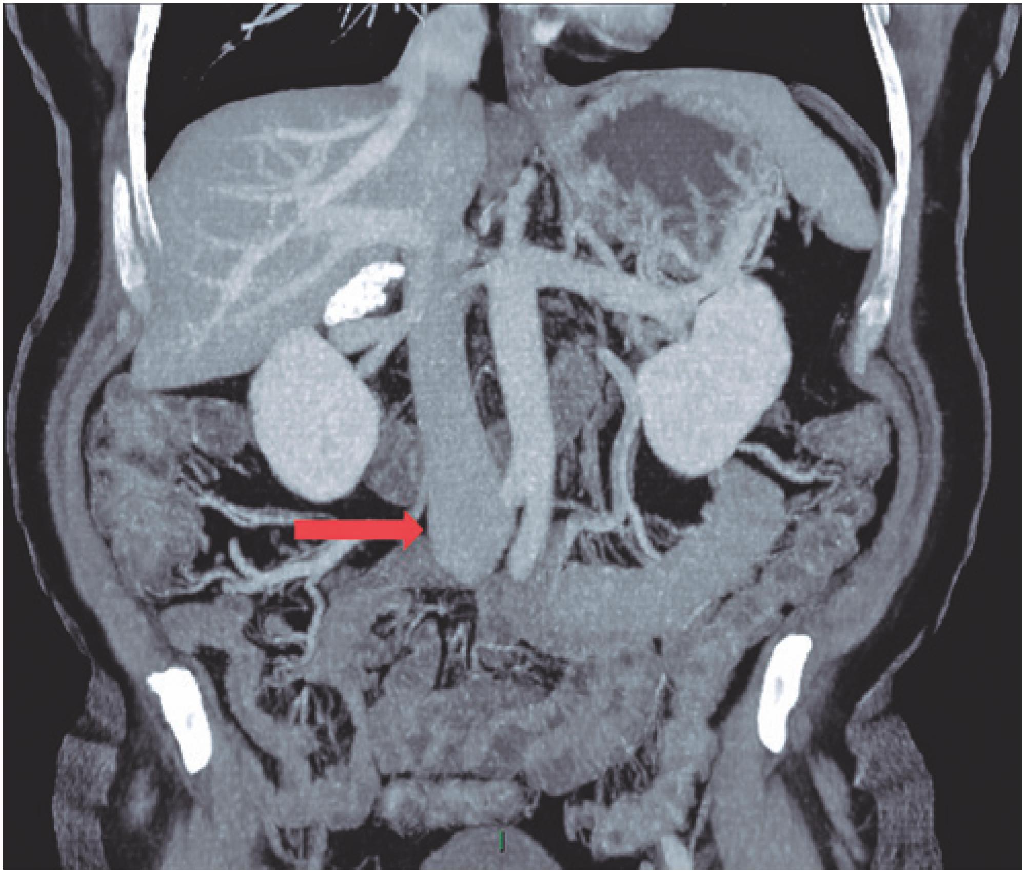
Angio‐TC. Duplicação da veia cava inferior (setas). Download Scientific Diagram

A despeito de variáveis opções terapêuticas, as técnicas presentes visam aliviar os sintomas e diminuir a pressão venosa da veia renal esquerda. Este relato descreve um caso de Síndrome de nutcracker posterior, em que a abordagem de escolha foi a cirurgia aberta, transpondo distalmente a veia gonadal esquerda na veia cava inferior.
Síndrome de vena cava superior. Oclusión inesperada del stent venoso Sociedad Española de

A veia cava superior é uma veia curta mas calibrosa, localizada na região anterior direita do mediastino. O seu nome tem origem no latim, e está relacionado com sua semelhança com um grande cano em cadáveres: "cava" em latim significa "oca". A veia cava superior é muito importante para o funcionamento do sistema cardiovascular.
CBR Bradcases AGENESIA DO SEGMENTO SUPRARRENAL VEIA CAVA INFERIOR

INTRODUÇÃO E DEFINIÇÕES. A síndrome da veia cava superior (SVCS) é o conjunto de sinais e sintomas decorrentes da estase venosa no segmento braquiocefálico devido à obstrução da veia cava superior, seja por trombose, compressão extrínseca, invasão direta da veia por processos patológicos adjacentes ou combinação destes fatores. Em 1953, Roswitt descreveu a evolução clínica.
Radiologia Brasileira Anomalias congênitas da veia cava inferior revisão dos achados na

A veia cava inferior é formada pela junção das veias ilíacas comuns ao nível da vértebra L5, imediatamente inferior à bifurcação da aorta abdominal. Ela então ascende na parede abdominal posterior, ficando à direita da aorta e dos corpos vertebrais de L3 a L5.Depois de passar através de uma fossa na superfície posterior do fígado, a veia cava inferior entra no tórax após.
Vena Cava Inferior Vena Cava Inferior Generalidades Todas las estructuras del diafragma para
A síndrome de Budd-Chiari é a obstrução de efluxo hepático venoso que se origina em qualquer lugar desde os pequenos ramos da veia hepática dentro do fígado até a veia cava inferior e o átrio direito. Suas manifestações variam entre ausência de sintomas e hepatite fulminante. Se houver suspeita, o exame inicial é a ultrassonografia.
O que é a veia cava inferior?

El síndrome de vena cava inferior siempre viene con una alarma. Hay varios síntomas que pueden ayudarle a detectar este raro síndrome. El primer síntoma es el edema periférico que es el edema de las extremidades inferiores. Se produce debido al repentino aumento de la presión arterial en las venas. El segundo síntoma es taquicardia.
Avaliação da Veia Cava Inferior Parte 1 YouTube

Caval variants, the variance of the anatomy of the venae cavae are common, due to the complex embryology of the venous system. Caval variants are important for a number of reasons: to avoid confusion with venous pathology. to suggest the presence of frequently associated abnormalities. to plan vascular intervention/surgery.
Embolização de Varicocele Instituto Belczak

O tratamento da síndrome da veia cava superior (SVCS) visa aliviar, rapidamente, os sintomas desconfortáveis.. 2005, procedures started with a phlebographic study conducted by puncture of superficial veins in both upper limbs and inferior cavography to assess collateral circulation, the extension of the lesion and involvement of subclavian.
Inferior Vena Cava Overview, Structure & Clinical Significance » How To Relief

Independientemente de la causa, cuando la vena cava superior se obstruye, detrás de la obstrucción se produce un aumento de la presión venosa. Cuando esto sucede, la sangre empieza a desviarse por diferentes vasos sanguíneos y drena sobre todo en la vena cava inferior, que también drena en la aurícula derecha.